長堀橋駅すぐの歯医者・精密インプラントなら「タニオ歯科クリニック」|長堀橋駅2B出口徒歩1分

  • 長堀橋駅すぐ
    心斎橋駅 徒歩8分
  • 世界基準の院内設備
  • インプラント
    インストラクター在籍
  • セカンドオピニオン
    保険診療対応
長堀橋の歯医者「タニオ歯科クリニック」

TANIO
DENTAL CLINIC

幅広い可能性と選べる未来。

Clinic

長堀橋駅2B出口すぐ・心斎橋駅1番出口徒歩8分

〒542-0081
大阪府大阪市中央区南船場2丁目4-1
美貴ビル2F
Google map
診療時間 日祝
10:00~13:30 × ×
15:00~19:00 × ×

…土曜は10:00~13:00 / 14:00~16:30

休診日:木曜・日曜・祝日

Concept

       

未来まで見据えた
一人ひとりに合った治療の選択

痛みや不調だけを改善する処置では、将来の健康は守れません。長堀橋・心斎橋の歯医者「タニオ歯科クリニック」では、患者さまの生活や将来の健康を第一に考え、本当に必要な治療を見極めながら、根本的な改善を目指しています。

保険診療・自費診療を問わず、幅広い選択肢の中から最適な方法を組み合わせ、できる限りの工夫と技術を尽くして診療を提供。日々の不安やお悩みに寄り添いながら、納得して受けていただける治療を大切にしています。

世界基準

確かな技術

Craftsmanship

デジタル機器

Digital

不要な治療を避け、
再治療を招かない
精度の高い歯科医療

当院では、世界基準の治療技術に加え、歯科用CTや口腔内スキャナーなどのデジタル機器を活用し、口腔内の状態を客観的に把握しています。勘や経験だけに頼らず、データに基づく診断を行うことで、本当に必要な治療だけを選択可能です。

初期段階から精度の高い治療を行うことで、治療後の不具合や再治療のリスクを抑え、長期的に安定した結果につなげます。

コンセプトを見る

Doctor

院長 谷尾 和正

"知らなかった"で
後悔してほしくないから
多角的な視点
最良の治療を
一緒に考えます

確かな知識と技術を積み重ねてきた当院では、一つの方法に偏らず、患者さま一人ひとりに合わせた複数の治療選択肢をご提案できます。

見た目だけや短期的な改善だけでなく、噛み合わせや将来の安定性まで含めて総合的に判断。患者さまが納得したうえで治療方針を選べるよう、メリットだけでなくリスクも含めて丁寧に説明し、最良の治療を一緒に考えていきます。

タニオ歯科クリニック

院長谷尾 和正

略歴

平成14年
日大学歯学部卒業
平成14~20年
医療法人健志ミナミ歯科クリニック勤務
南清和先生に師事(大阪市)
平成16年
SJCDコース修了
平成18年
日本顎咬合学会咬み合わせ認定医
平成20年
医療法人タニオ歯科クリニック開業

所属学会

  • 国際口腔インプラント学会会員/認定医
  • ドイツ口腔インプラント学会会員/認定医
  • 日本顎咬合学会会員/咬み合わせ認定医
  • 大阪SJCD理事
  • 日本口腔インプラント学会会員
  • 日本歯科審美学会会員
  • 日本歯周病学会会員
  • 古希の会会員

歯科医師へ技術を伝えてきた、
講師・インストラクターとしての経験

院長は、デジタル治療やインプラント治療の分野で、歯科医師向けに講演や指導を行ってきました。理論だけでなく「臨床で役立つ実践的な技術」を教える経験を通して、日々の診療において治療の精度や安全性を高める工夫に活かしています。

海外の知識・技術を取り入れた
エビデンス重視の治療

国内の情報にとどまらず、海外の新しい文献や治療概念も積極的に取り入れながら診療を行っています。経験や勘だけに頼るのではなく、科学的根拠に基づいて治療を選択することで、長期的に安定した結果を目指しています。

院長紹介を見る

Approach

安心と精度を高めるための
3段階アプローチ

長堀橋・心斎橋の歯医者「タニオ歯科クリニック」では、患者さまの健康を長く守るために、安心して受けられる治療と精度の高い診療を両立させています。そのために、以下の3つのステップを丁寧に実践しています。

01

対話を通じて患者さまを深く理解

患者さまを知るために
じっくりお話を伺います

当院では、検査や治療に入る前に、まず患者さまのお話を丁寧に伺うことを大切にしています。生活背景やお悩み、治療への不安を共有することで、本当に必要な治療が見えてきます。納得のいく診療のための第一歩です。

カウンセリングルームで
落ち着いてお話を伺います

治療歴や生活に合わせた
方針を一緒に考えます

02

精密検査でお口の中の状態を正確に把握

精密検査で
お口の状態を確認し、
原因を見極めます

歯や顎の状態は、見た目だけでは正確に判断できません。当院では歯科用CTや各種検査を用いて、骨や神経、噛み合わせまで多角的に確認します。症状の表面だけでなく原因を明確にすることで、無駄のない治療計画につなげています。

精密検査について見る

03

世界基準の設備・機器で確かな治療を実施

世界基準の機器で支える、
再現性と確実性の高い治療

  • 完全個室の特診室
  • マイクロスコープ
  • 口腔内スキャナー
  • 歯科用CT
  • RAYFace(レイフェイス)
  • X-ガイド2G NXT

歯科用CTや口腔内スキャナーなどのデジタル機器で状態を正確に把握し、そのデータをもとに治療計画を立てます。身体への負担を抑えながら、再現性と確実性の高い治療を実現しています。

設備紹介について見る

Implant

国際インプラント学会
(ICOI)認定医が行う
精密なインプラント治療

長堀橋・心斎橋の歯医者「タニオ歯科クリニック」では、国際インプラント学会(ICOI)認定医である院長が、診査・診断から手術、補綴治療まで一貫して担当しています。歯科用CTなどの精密検査をもとに、骨や神経の状態を正確に把握し、リスクを事前に想定した治療計画を立案。見た目だけでなく、噛み合わせや長期安定性まで考慮したインプラント治療を提供しています。

Xガイドによる高精度ナビゲーションで、
負担が少なく安全な治療を実現

Xガイドは、インプラントの埋入位置・角度・深さをリアルタイムで確認できるナビゲーションシステムです。事前に撮影した歯科用CTデータをもとに、感覚に頼らず計画通りに手術を行えるため、神経や骨への負担を抑え、安全性の高い治療を提供します。

  •            

    衛生管理を徹底した
    個室で治療

  •            

    歯科用CTによる
    精密な診査・診断

  •            

    年間300件超の
    豊富なインプラント治療実績

  • 1本から全顎まで
    幅広いインプラント
    治療に対応

Secondopinion

院長はインプラントメーカー公認インストラクターも担当 「骨が足りない」などの
難症例や、
治療のリカバリー・セカンドオピニオンまで対応。
まずは当院へご相談ください。

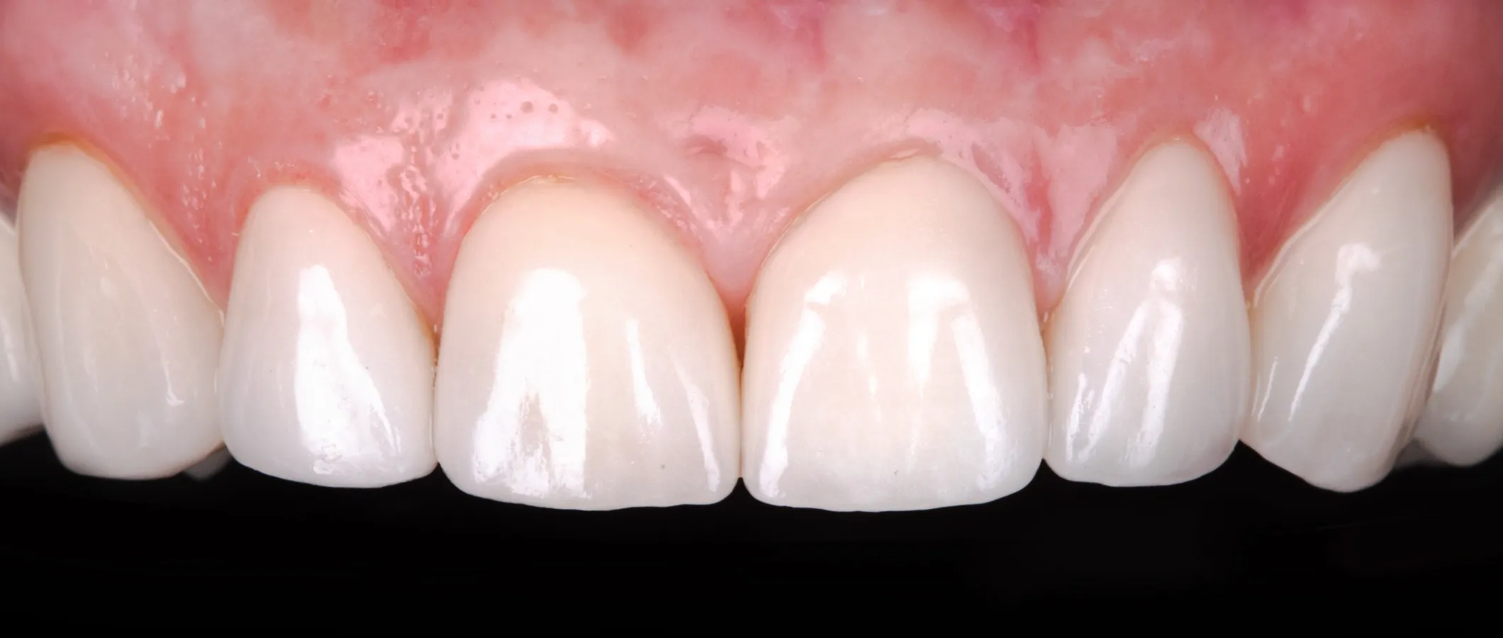
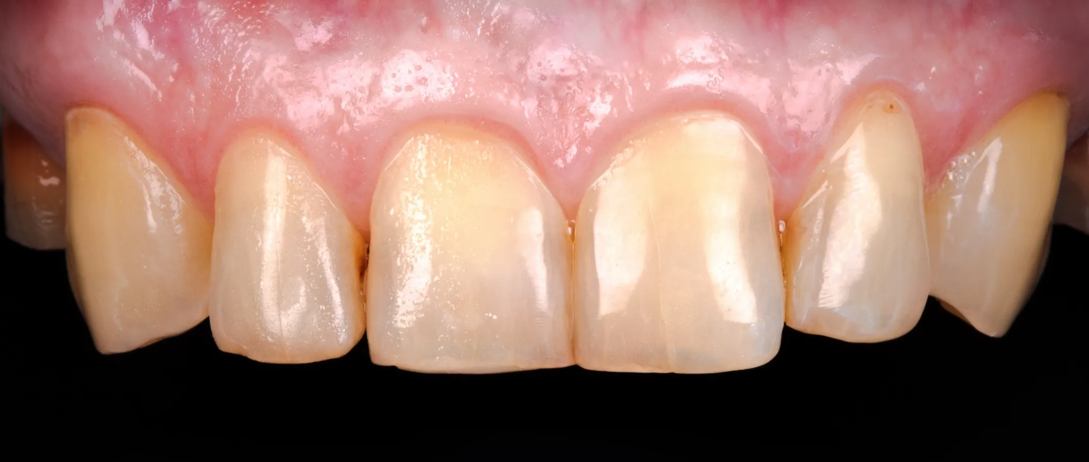
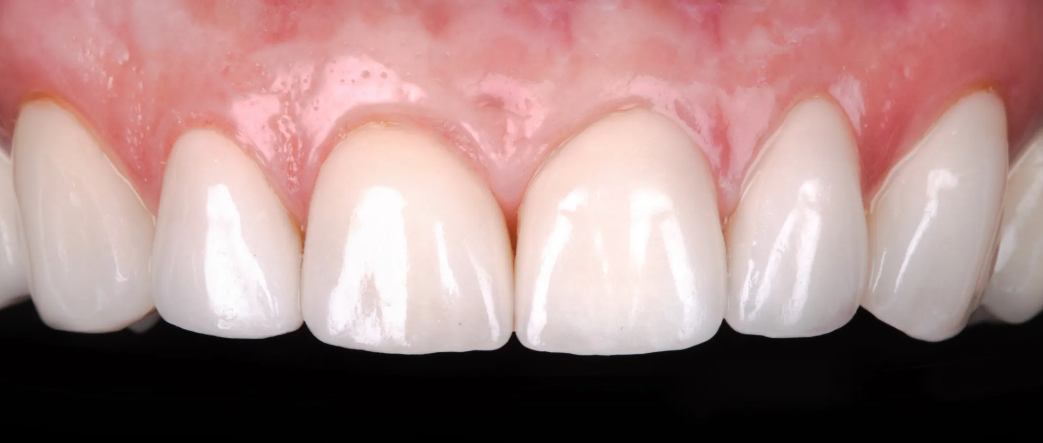
CASE

インプラント治療の症例

Before

After

主訴
テキストが入ります。テキストが入ります。テキストが入ります。テキストが入ります。
診療名
テキストが入ります。テキストが入ります。
年齢
〇〇歳
治療期間
〇ヵ月
治療費用
00,000円
治療説明
テキストが入ります。テキストが入ります。テキストが入ります。テキストが入ります。
リスク・副作用
テキストが入ります。テキストが入ります。テキストが入ります。テキストが入ります。テキストが入ります。テキストが入ります。テキストが入ります。テキストが入ります。

症例の詳細を見る

当院が手掛けた
その他の症例を見る

Esthe

精密デジタルで叶える、
顔貌に調和した美しい
審美歯科治療

審美歯科治療は、歯を白く整えるだけでなく、お顔全体との調和が重要です。長堀橋・心斎橋の歯医者「タニオ歯科クリニック」では、デジタル機器を駆使して精密に検査・診断を行います。歯の形・色・位置を多角的に分析し、噛み合わせや耐久性にも配慮。見た目と機能の両立を追求する長期的に安定する審美歯科治療を目指しています。

  •            

    口腔内スキャナー
    による
    精密な型採り

  •            

    フェイススキャンで
    顔貌と調和する
    美しい歯を

  •            

    マイクロスコープで
    ミクロン単位まで
    こだわる治療

  •            

    機能性と審美性の
    両立を
    追求する
    審美設計

院内に専用ラボ併設 世界基準の歯科技工士と共に作る、
精密で美しい補綴物

当院では、海外で研鑽を積んだ歯科技工士と連携し、補綴物を院内で製作しています。歯科医師と歯科技工士が密に情報を共有し、色味や形、噛み合わせまで細かく調整。審美性はもちろん、長く快適に使える精度を重視した補綴物を提供しています。

In-house Lab

当院の院内技工所の特長

  • セラミックに特化した院内デンタルセラミストラボ
  • 患者さま一人ひとりに合わせた完全オーダーメイド
  • 歯科技工士立ち会いによる細やかな調整
  • 内製だから実現できるスピード感と高精度な仕上がり

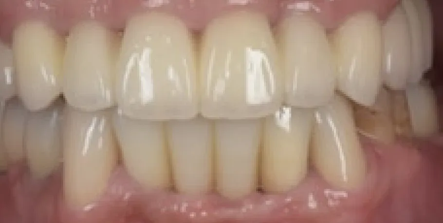
CASE

審美歯科治療の症例

Before

After

主訴
テキストが入ります。テキストが入ります。テキストが入ります。テキストが入ります。
診療名
テキストが入ります。テキストが入ります。
年齢
〇〇歳
治療期間
〇ヵ月
治療費用
00,000円
治療説明
テキストが入ります。テキストが入ります。テキストが入ります。テキストが入ります。
リスク・副作用
テキストが入ります。テキストが入ります。テキストが入ります。テキストが入ります。テキストが入ります。テキストが入ります。テキストが入ります。テキストが入ります。

症例の詳細を見る

当院が手掛けた
その他の症例を見る

Full Mouth

お口全体のバランスを整える 咬合再構成治療

咬合再構成治療は、歯の欠損やすり減り、噛み合わせのズレで崩れたお口のバランスを、原因から見直す治療です。長堀橋・心斎橋の歯医者「タニオ歯科クリニック」では、インプラント治療・被せ物治療・矯正歯科治療を組み合わせ、見た目だけでなく噛む機能や将来の安定まで考えた包括的な治療を提供します。

Before

After

主訴
テキストが入ります。テキストが入ります。テキストが入ります。テキストが入ります。
診療名
テキストが入ります。テキストが入ります。
年齢
〇〇歳
治療期間
〇ヵ月
治療費用
00,000円
治療説明
テキストが入ります。テキストが入ります。テキストが入ります。テキストが入ります。
リスク・副作用
テキストが入ります。テキストが入ります。テキストが入ります。テキストが入ります。テキストが入ります。テキストが入ります。テキストが入ります。テキストが入ります。

症例の詳細を見る

咬合再構成治療について見る

RECRUIT

患者さまと向き合い、
自分らしく成長できる
採用情報

長堀橋・心斎橋の歯医者「タニオ歯科クリニック」では、患者さま一人ひとりと丁寧に向き合う診療を大切にしています。流れ作業ではなく、時間と心にゆとりを持った診療体制だからこそ、確かな技術と人に寄り添う姿勢の両方を磨ける環境です。

新卒・経験者・ブランクのある方も大歓迎。それぞれのペースに合わせて成長をしっかり支えます。

  • 向上心を支える、段階的に学べる教育体制
  • 充実した福利厚生で
    働きやすさをサポート
  • 頑張りと成長を正当に
    評価する給与制度

News